MEDizzy
MEDizzy
Sheeza Basharat
Sheeza Basharatover 1 year ago
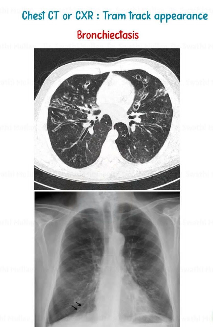
Tram Track Appearance IV

Tram Track Appearance IV

Tram track appearances or tram track signs are medical signs that bear some resemblance to tramway tracks. They are seen in different conditions By: https://www.instagram.com/p/C6ifvK7B6ia/?utm_source=ig_web_copy_link

0
Other commentsSign in to post comments. You don't have an account? Sign up now!

Recent MCQs















Show more MCQs

Recent flashcard sets















Show more flashcards