MEDizzy
MEDizzy
Sheeza Basharat
Sheeza Basharatalmost 3 years ago
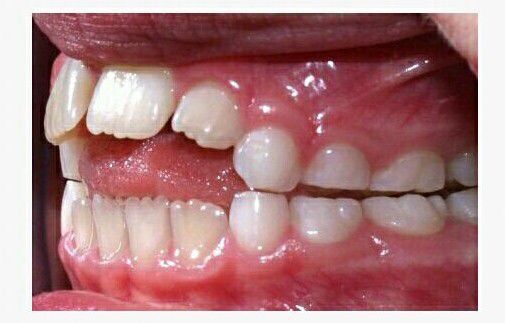
Identify the Cause

Identify the Cause

Do you know the most important cause of this condition?

10
Top rated comment
almost 3 years ago

Hutchinson teeth

Other commentsSign in to post comments. You don't have an account? Sign up now!
almost 3 years ago

Open bite

almost 3 years ago

I think it's thumbsucking in childhood

almost 3 years ago

Anterior open bite due to tongue thrust habit.

almost 3 years ago

Thumb sucking?

almost 3 years ago

Thumb sucking??

almost 3 years ago

Intruding of the toungue between incisors, thumbsucking or sucking pacifier, tongue is also resting on the floor of the mouth.

almost 3 years ago

adenoid?!

almost 3 years ago

adenoid?!

almost 3 years ago

That's an anterior open bite due to thumb sucking

Recent MCQs















Show more MCQs

Recent flashcard sets















Show more flashcards