MEDizzy
MEDizzy
Zunaira saleh
Zunaira salehalmost 2 years ago
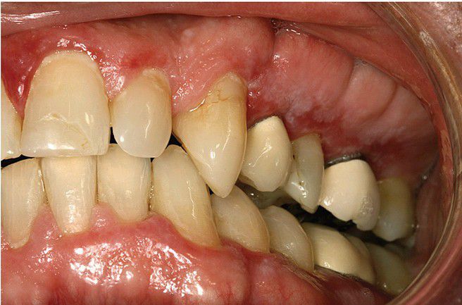
Foreign Body Gingivitis

Foreign Body Gingivitis

. Red, atrophic mucosa of the left maxillary facial gingiva. The alterations arose following placement of two porcelain-fused-to-metal (PFM) crowns. Biopsy revealed lichenoid mucositis with intermixed fragments of foreign material. 

0
Other commentsSign in to post comments. You don't have an account? Sign up now!

Recent MCQs















Show more MCQs

Recent flashcard sets















Show more flashcards