MEDizzy
MEDizzy
Zunaira saleh
Zunaira saleh9 months ago
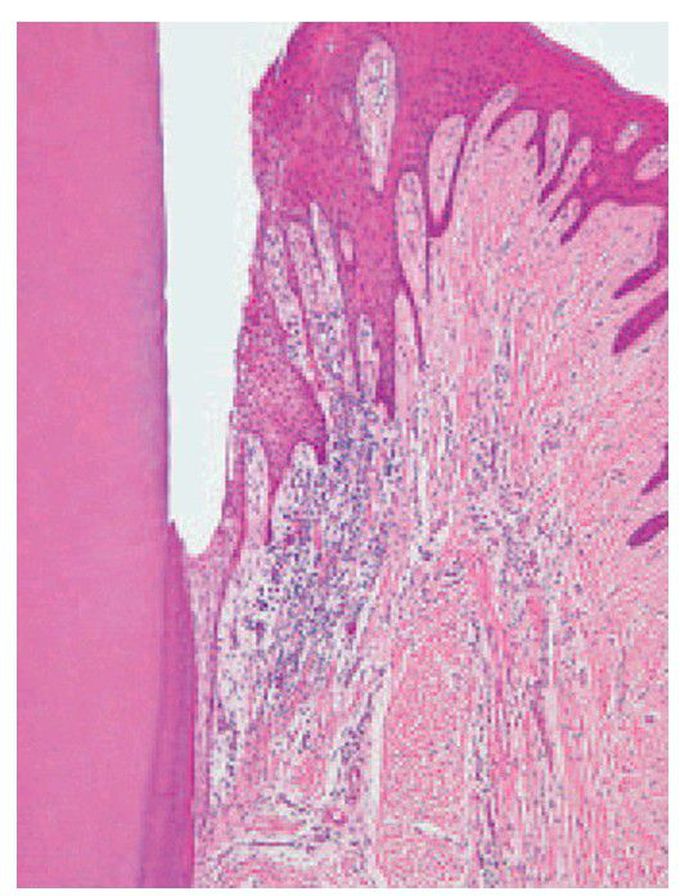
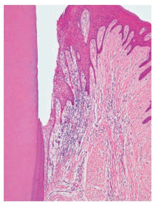
Transition from chronic gingivitis to periodontitis

Transition from chronic gingivitis to periodontitis

. No pocket has yet formed but the epithelial attachment has extended on to the cementum and infl ammation has induced epithelial hyperplasia, as evidenced by rete hyperplasia.

0
Other commentsSign in to post comments. You don't have an account? Sign up now!

Recent MCQs















Show more MCQs

Recent flashcard sets















Show more flashcards