MEDizzy
MEDizzy
Zunaira saleh
Zunaira saleh9 months ago
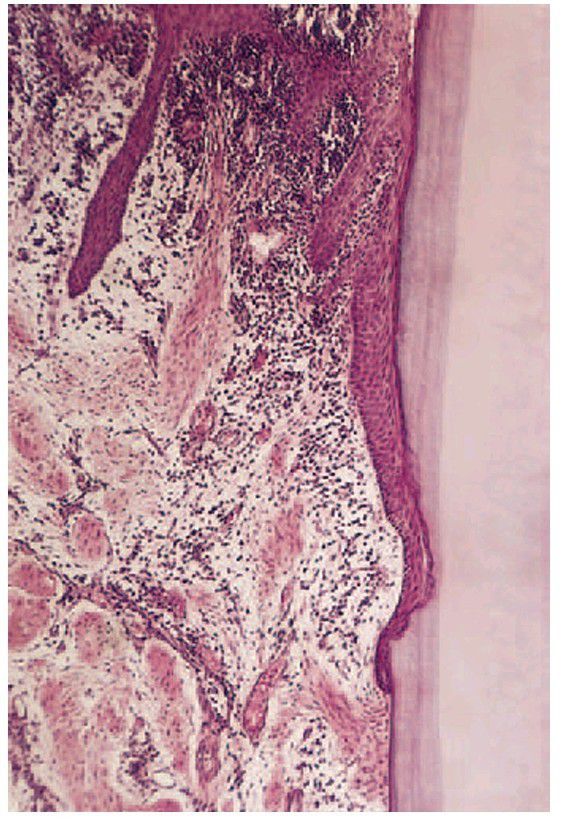
Chronic periodontitis

Chronic periodontitis

. Higher-power view showing the epithelial attachment lying against cementum. Note how collagen has been lost from the areas containing infl ammatory cells.

1
Other commentsSign in to post comments. You don't have an account? Sign up now!

Recent MCQs















Show more MCQs

Recent flashcard sets















Show more flashcards