Feed
Library
Learning
Discuss
Leaderboard
Journal
Sign in
Login
Sign up
Sign in
Feed
Library
Learning
Discuss
Leaderboard
Journal
Zunaira saleh
9 months ago
Chronic periodontitis
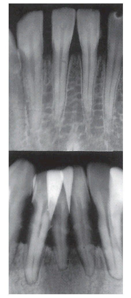
Early and severe horizontal bone loss in advanced chronic adult periodontitis.
Chronic
Periodontitis
Periodontology
0
0
0
Other comments
Sign in
to post comments. You don't have an account?
Sign up now!
Related posts
Chronic gingivitis.
Transition from chronic gingivitis to periodontitis
Pocket formation in periodontal disease
Established chronic periodontitis
Chronic periodontitis.
Chronic periodontitis
Chronic periodontitis
Periodontal abscess
Advanced periodontitis with recession.
Periodontitis with recession.
Recent MCQs
Show more MCQs
Recent flashcard sets
Show more flashcards
Feed
Learn
Add
Search
Discuss