MEDizzy
MEDizzy
Zunaira saleh
Zunaira saleh9 months ago
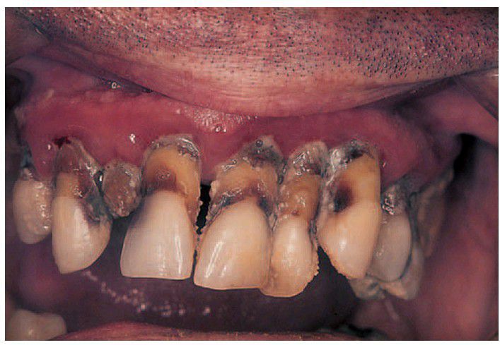
Advanced periodontitis with recession.

Advanced periodontitis with recession.

In this neglected mouth, deposits of plaque and supragingival calculus adhere to the exposed roots, which are vulnerable to caries.

0
Other commentsSign in to post comments. You don't have an account? Sign up now!

Recent MCQs















Show more MCQs

Recent flashcard sets















Show more flashcards