MEDizzy
MEDizzy
Zunaira saleh
Zunaira saleh10 months ago
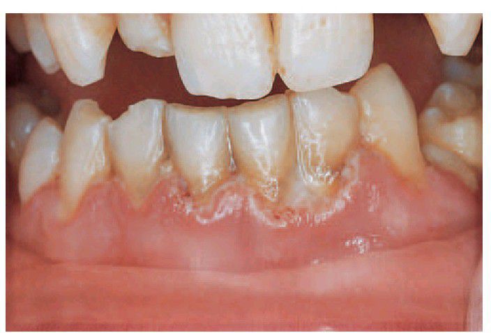
Acute necrotising ulcerative gingivitis

Acute necrotising ulcerative gingivitis

. The characteristic features of the lesion, the crater-shaped ulcers starting at the tips of the interdental papillae, are covered by a slough, as shown here.

0
Other commentsSign in to post comments. You don't have an account? Sign up now!

Recent MCQs















Show more MCQs

Recent flashcard sets















Show more flashcards