MEDizzy
MEDizzy
Zunaira saleh
Zunaira saleh9 months ago
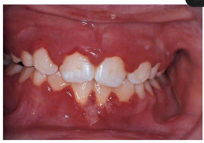
Acute herpetic gingivostomatitis.

Acute herpetic gingivostomatitis.

There is diffuse reddening of the attached gingiva with ulceration in the lower incisor region extending beyond the attached gingiva (see also Ch. 12).

0
Other commentsSign in to post comments. You don't have an account? Sign up now!

Recent MCQs















Show more MCQs

Recent flashcard sets















Show more flashcards