
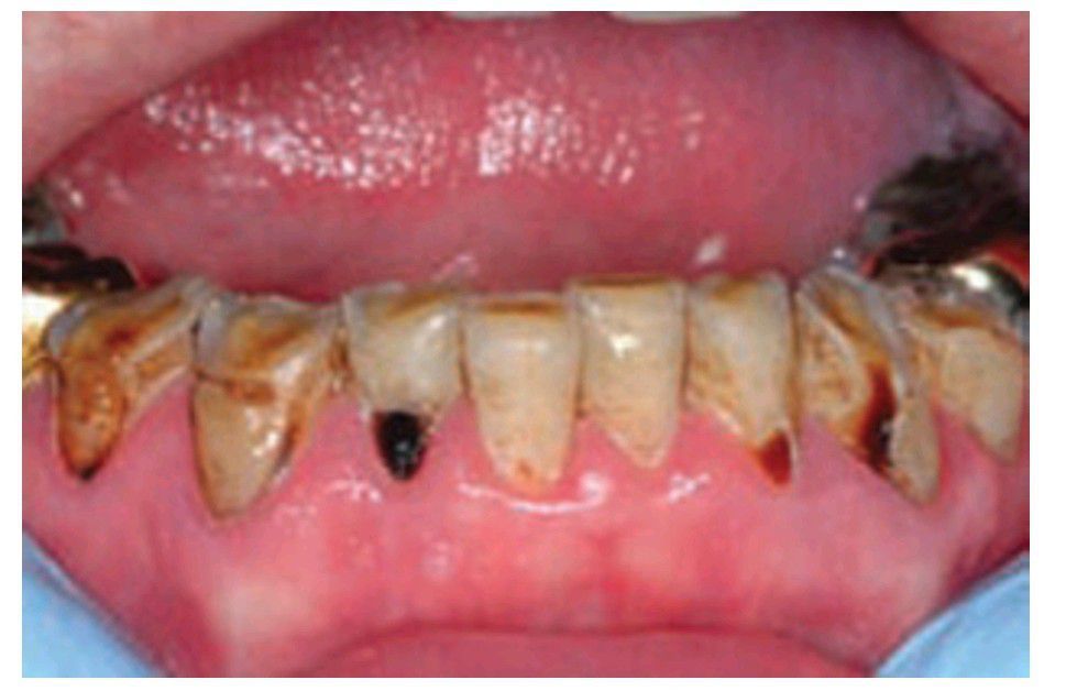
Dryness may present because of: • difficulty eating dry foods (the cracker sign) • difficulties in controlling dentures in speech and swallowing • disturbed taste • soreness, often due to cheilitis , candidosis or angular stomatitis • caries • sialadenitis.