
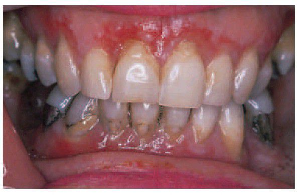
Desquamative gingivitis caused by lichen planus. A well-defi ned band of patchy erythema extends across the full width of the attached gingiva around several teeth. This change may be localised or widespread. Within the red areas faint white fl ecks and striae are sometimes visible