MEDizzy
MEDizzy
Zunaira saleh
Zunaira saleh10 months ago
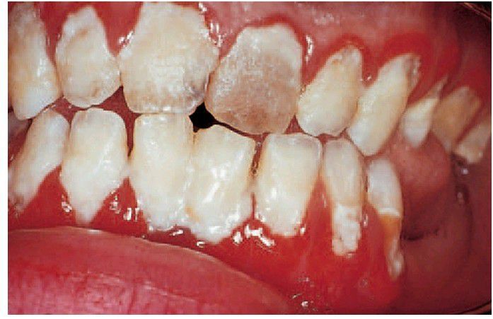
Gingivitis

Gingivitis

. A fl orid, bright-red band of gingival infl ammation results from very poor oral hygiene. Thick accumulations of plaque are visible on all tooth surfaces.

0
Other commentsSign in to post comments. You don't have an account? Sign up now!

Recent MCQs















Show more MCQs

Recent flashcard sets















Show more flashcards