MEDizzy
MEDizzy
Zunaira saleh
Zunaira saleh7 months ago
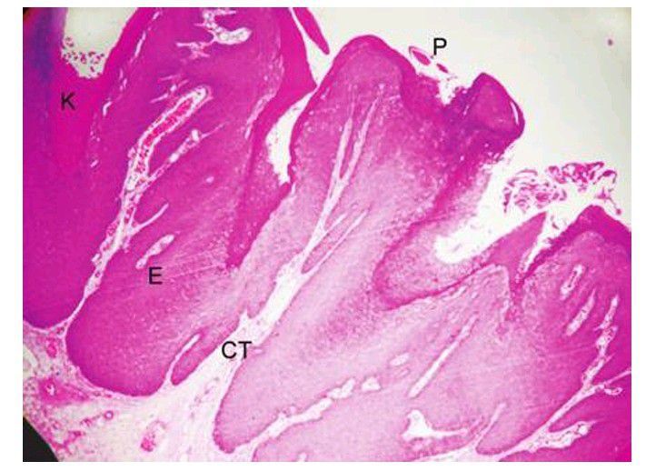
Oral papilloma

Oral papilloma

Papilloma shows many fingers like projections (P) of epithelial cells (E). Each projection is supported by connective tissue papilla (CT). Keratin (K) is seen at the surface

0
Other commentsSign in to post comments. You don't have an account? Sign up now!

Recent MCQs















Show more MCQs

Recent flashcard sets















Show more flashcards