Feed
Library
Learning
Discuss
Leaderboard
Journal
Sign in
Login
Sign up
Sign in
Feed
Library
Learning
Discuss
Leaderboard
Journal
Zunaira saleh
over 1 year ago
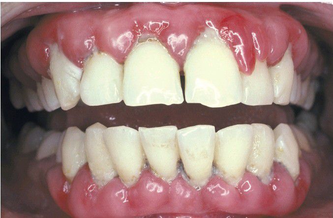
Chronic Hyperplastic Gingivitis
. Diffuse erythema and enlargement of marginal and papillary gingiva
Chronic
Gingivitis
Hyperplastic
0
0
0
Other comments
Sign in
to post comments. You don't have an account?
Sign up now!
Related posts
Chronic gingivitis.
Chronic periodontitis
Transition from chronic gingivitis to periodontitis
Established chronic periodontitis
Chronic periodontitis.
Chronic periodontitis
Chronic periodontitis
Acute necrotising ulcerative gingivitis
Acute herpetic gingivostomatitis.
Desquamative gingivitis
Recent MCQs
Show more MCQs
Recent flashcard sets
Show more flashcards
Feed
Learn
Add
Search
Discuss