
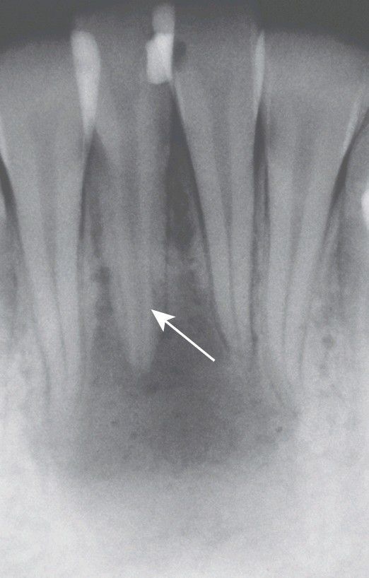
Periapical abscess with all four teeth nonresponsive to electric pulp testing. Decreased deposition of physiologic secondary dentin on the right central incisor (arrow) delineated the origin of the infection; endodontic treatment of this tooth resolved the lesion.