
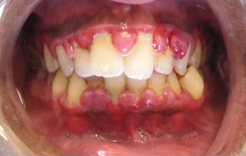
Treatment of gingivitis aims to control the infection and restore healthy teeth and gums. Your dentist or periodontist will thoroughly clean your teeth to remove harmful bacteria, plaque and tartar. Additional gingivitis treatments include: Scaling and root planing: This procedure is similar to a routine dental cleaning, but reaches deeper beneath your gums. Scaling removes tartar and bacteria. Planing smooths the surfaces of your teeth roots and prevent bacteria from sticking. Improved oral hygiene: A good dental cleaning usually clears up gingivitis. But you need to keep the cleanliness going once you return home. You’ll learn how to properly clean your teeth and get help scheduling checkups. Antimicrobial mouthwash: Rinsing with an antimicrobial mouthwash can help destroy disease-causing bacteria. Dental work repair: Your dentist may fix or remove crowns, fillings or bridges that stick out or don’t fit right. Smoother surfaces are easier to keep clean.