
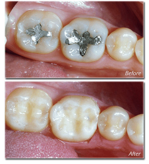
Amalgam and composite fillings are both used to restore decayed teeth, but they differ in composition, appearance, and properties. Amalgam fillings, also known as silver fillings, are a mixture of metals including mercury, silver, tin, and copper. They are strong, durable, and relatively inexpensive. Composite fillings, or white fillings, are made of a plastic and glass mixture, offering a tooth-colored, aesthetic restoration. However, they may not be as strong or long-lasting as amalgam, particularly in high-stress areas.