
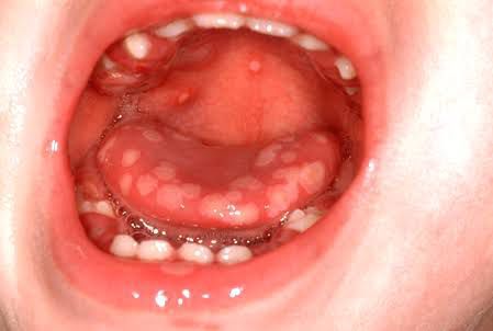
Gingivostomatitis is an infection of the mouth and gums that leads to swelling and sores. It may be due to a virus or bacteria. Inflammation of the gums is called gingivitis. Bacteria in plaque around the teeth release enzymes (collagenases) that can damage and erode the gum tissues.