Feed
Library
Learning
Discuss
Leaderboard
Journal
Sign in
Login
Sign up
Sign in
Feed
Library
Learning
Discuss
Leaderboard
Journal
Zunaira saleh
over 1 year ago
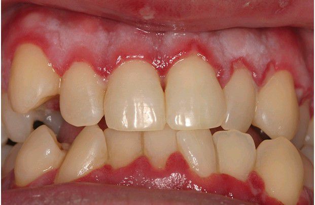
Acute Herpetic Gingivostomatitis
. Painful, enlarged, and erythematous facial gingiva. Note erosions of the free gingival margin.
Oralpathology
Herpes
Gingivitis
0
0
0
Other comments
Sign in
to post comments. You don't have an account?
Sign up now!
Related posts
Deceptive normal variant
Deceptive normal variant
Gingivitis
Chronic gingivitis.
Transition from chronic gingivitis to periodontitis
Acute necrotising ulcerative gingivitis
Acute herpetic gingivostomatitis.
Herpetic stomatitis.
Herpes labialis.
Desquamative gingivitis
Recent MCQs
Show more MCQs
Recent flashcard sets
Show more flashcards
Feed
Learn
Add
Search
Discuss