MEDizzy
MEDizzy
Iqra
Iqraover 3 years ago
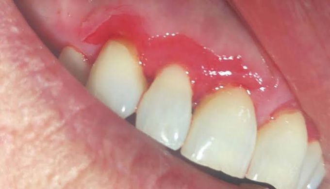
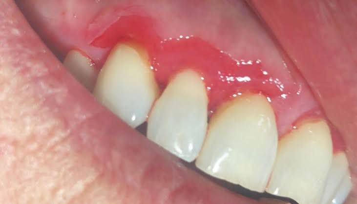
Desquamative gingivitis

Desquamative gingivitis

Gingival desquamation is a clinical sign in which the gingiva appears reddish, glazed and friable with destruction of the epithelium. Gingival desquamation may be the result of various disease processes in gingiva.

1
Other commentsSign in to post comments. You don't have an account? Sign up now!

Recent MCQs















Show more MCQs

Recent flashcard sets















Show more flashcards