
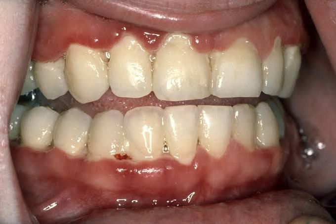
Acute necrotizing ulcerative gingivitis (ANUG) is a painful infection of the gums that causes fever, sometimes foul-smelling breath, and feeling ill. If the normal bacteria in the mouth overgrow, the gums can become infected. The gums hurt, and people sometimes have extremely bad breath.