MEDizzy
MEDizzy
Zunaira saleh
Zunaira saleh10 months ago
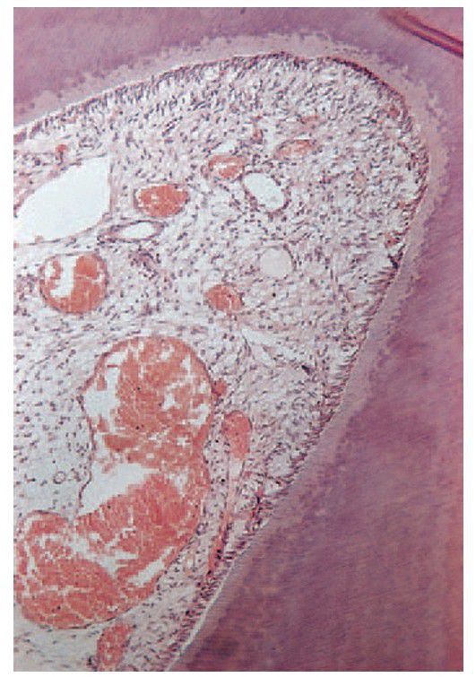
Pulpal hyperaemia.

Pulpal hyperaemia.

While bacteria are still some distance from the pulp, acid permeating along the dentinal tubules gives rise to hyperaemia, oedema and a light cellular infl ammatory infi ltrate in the pulp.

0
Other commentsSign in to post comments. You don't have an account? Sign up now!

Recent MCQs















Show more MCQs

Recent flashcard sets















Show more flashcards