
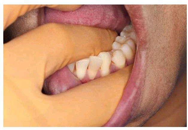
. The surgeon’s left index finger is positioned in the buccal vestibule, retracting the cheek, and the second finger is positioned in the lingual vestibule, retracting the tongue. The thumb is positioned under the chin. The mandible is grasped between the fingers and the thumb to provide support during extraction