MEDizzy
MEDizzy
Zunaira saleh
Zunaira saleh9 months ago
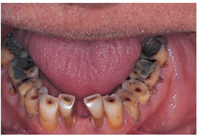
Attrition

Attrition

Excessive wear of the occlusal surfaces of the teeth, as a result of an abrasive diet. The site of the pulp of several teeth is marked by reactionary dentine which is porous and stained. Teeth remain vital.

0
Other commentsSign in to post comments. You don't have an account? Sign up now!

Recent MCQs















Show more MCQs

Recent flashcard sets















Show more flashcards