
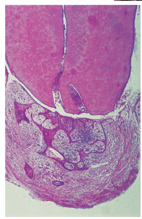
The earliest stages of formation of a radicular cyst. Some periapical granulomas, such as this, contain proliferating strands of odontogenic epithelium. In places the epithelium has broken down centrally to form small epithelium-lined spaces.
I am beyond grateful to be healthy again and deeply thankful to Earth Cure Herbal Clinic for their remarkable treatment that cured me of Parkinson's disease and the herpes virus I struggled with for years. To everyone still facing health challenges, I pray you find your path to recovery soon. I truly believe that restoring your health is possible, and for me, the healing and renewal I experienced came through www.earthcureherbalclinic.com. I encourage you to reach out to them—I am confident their effective health protocols can help you, just as they helped me.
I have be dealing with herpes for the past years until i got review online about Dr Aziegbe people testifies how they got cured with his herbal medicine. And i order the treatment, after taking it for 14days i totally got cured with Dr Aziegbe herbal treatment. I'm recommending you diagnosis with herpes should get this treatment and be cured of it... contact him if you need his help too, feel free to leave him a message on WhatsApp +234966103332 or email DRAZIEGBE1SPELLHOME@GMAIL.COM He also have herbs medicine to cured the following diseases; Diabetes, Lupus, HPV, Gout, Hepatitis A,B, PCOS, COPD, Infertility, HIV/AIDS, CANCER, WART