MEDizzy
MEDizzy
Zunaira saleh
Zunaira saleh10 months ago
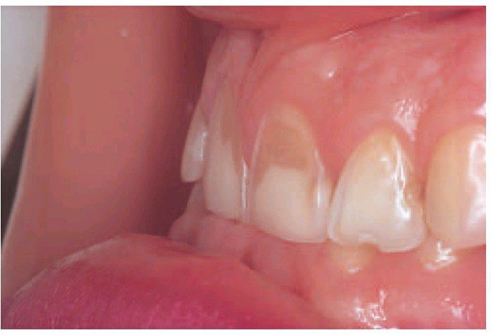
Erosion

Erosion

. Saucer-shaped defects on the labial enamel resulting from acid drinks being trapped between the upper lip and teeth.

0
Other commentsSign in to post comments. You don't have an account? Sign up now!

Recent MCQs















Show more MCQs

Recent flashcard sets















Show more flashcards