MEDizzy
MEDizzy
Zunaira saleh
Zunaira saleh9 months ago
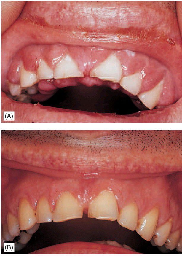
Acute leukaemia

Acute leukaemia

. (A) Gross leukaemic infi ltration has caused the gingival margins to reach the incisal edges of the teeth. (B) The benefi ts of plaque control with an antibiotic mouth rinse and oral hygiene have restored the normal appearance.

0
Other commentsSign in to post comments. You don't have an account? Sign up now!

Recent MCQs















Show more MCQs

Recent flashcard sets















Show more flashcards