Feed
Library
Learning
Discuss
Leaderboard
Journal
Sign in
Login
Sign up
Sign in
Feed
Library
Learning
Discuss
Leaderboard
Journal
Zunaira saleh
about 1 year ago
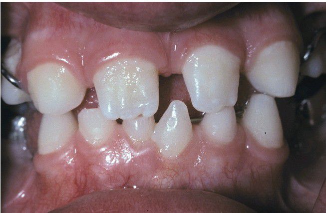
Incontinentia Pigmenti.
Hypodontia and conical teeth.
Hypodontia
Incontinentia
Pigmenti
0
0
0
Other comments
Sign in
to post comments. You don't have an account?
Sign up now!
Related posts
Hypodontia
What are the symptoms of hypodontia?
What causes hypodontia?
How is hypodontia inherited?
How is hypodontia treated?
Can I prevent hypodontia?
Syndromes with hypodontia
Hypodontia
Hypodontia
Incontinentia Pigmenti.
Recent MCQs
Show more MCQs
Recent flashcard sets
Show more flashcards
Feed
Learn
Add
Search
Discuss