MEDizzy
MEDizzy
Zunaira saleh
Zunaira salehalmost 2 years ago
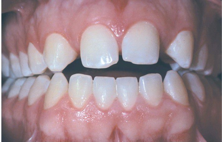
Hypodontia

Hypodontia

Developmentally missing maxillary lateral incisors. Radiographs revealed no underlying teeth, and there was no history of trauma or extraction. 

0
Other commentsSign in to post comments. You don't have an account? Sign up now!

Recent MCQs















Show more MCQs

Recent flashcard sets















Show more flashcards