MEDizzy
MEDizzy
Zunaira saleh
Zunaira salehalmost 2 years ago
Hypodontia

Hypodontia

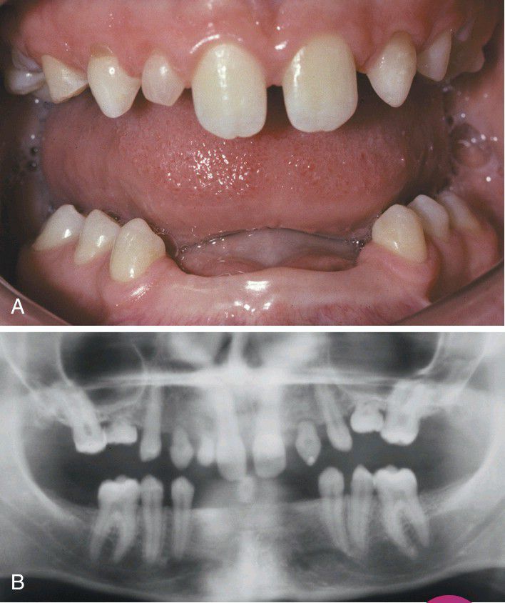
Multiple developmentally missing permanent teeth and several retained deciduous teeth in a female adult. B, The panoramic radiograph shows no unerupted teeth in either jaw

0
Other commentsSign in to post comments. You don't have an account? Sign up now!

Recent MCQs















Show more MCQs

Recent flashcard sets















Show more flashcards