MEDizzy
MEDizzy
Hunain
Hunainalmost 2 years ago
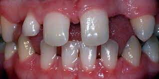
Can I prevent hypodontia?

Can I prevent hypodontia?

Because hypodontia is usually hereditary, there’s nothing you can do to keep it from happening. But remember, even if you have hypodontia, it doesn’t guarantee that you’ll pass it on to your children.

0
Other commentsSign in to post comments. You don't have an account? Sign up now!

Recent MCQs















Show more MCQs

Recent flashcard sets















Show more flashcards