Feed
Library
Learning
Discuss
Leaderboard
Journal
Sign in
Login
Sign up
Sign in
Feed
Library
Learning
Discuss
Leaderboard
Journal
L
Logasubra
about 8 years ago
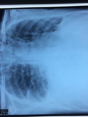
Guess the diagnosis
Internalmedicine
548
1
0
Top rated comment
L
Logasubra
about 8 years ago
Bilateral pleural effusion more on R-site
0
Reply
Other comments
Sign in
to post comments. You don't have an account?
Sign up now!
Related posts
Congestive Heart Disease
Hello, dear colleagues I had a patient 6 month pregnant who was on methimazole therapy for hyperthyroidism. she stop taking the medication from 3 days ago when I visit her. her symptoms now are shortness of breath, palpitation, nausea and has irregular pulse. What is the next step to be considered? What medication should be prescribe to reverse the symptoms immediately? Appreciate your response
Study zone
INO (internuclear ophthalmoplegia )
Lambert -Eaton Syndrome
Symptom of stroke
Alpha and beta receptor
Magrain
Cystic bumps after IV cannula
Deferent Diagnosis
Recent MCQs
Show more MCQs
Recent flashcard sets
Show more flashcards
Feed
Learn
Add
Search
Discuss