Feed
Library
Learning
Discuss
Leaderboard
Journal
Sign in
Login
Sign up
Sign in
Feed
Library
Learning
Discuss
Leaderboard
Journal
ππ―. ππ₯π¦π―π¦π« ππ₯πͺππ‘
almost 3 years ago
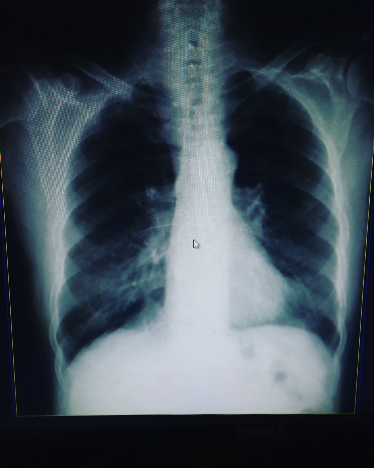
Deferent Diagnosis
What's the diagnosis?
Medicine
Medical
Internal Medicine
Respiratory
Internalmedicine
show 1 more
76
0
0
Other comments
Sign in
to post comments. You don't have an account?
Sign up now!
Related posts
Hecks disease
Causes of erythema multiforme
Neurofibromatosis
Familial mediterranean fever
Multisystem Inflammatory Syndrome in Adults (MIS-A)
Severe upper airway obstruction
Womenβs Reproductive Health & Daily Wellness
Pulsar Vexline Review 2026 - Legit Or Scam Trading Platform? Fact Check
Gelatine Sculpt | Official Website
BurnSlim Official | Support Your Weight Management Journey
Recent MCQs
β
β
β
β
β
β
β
β
β
β
Show more MCQs
Recent flashcard sets
β
β
β
β
β
β
β
β
β
β
Show more flashcards
Feed
Learn
Add
Search
Discuss