
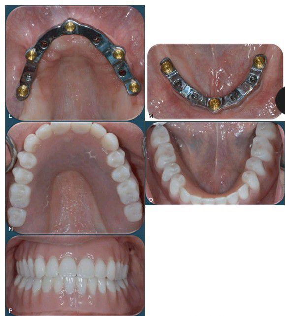
, cont’d (L) Maxillary implant supported milled titanium bar with attachments. (M) Mandibular implant-supported milled titanium bar with attachments. (N) Maxillary metal-reinforced overdenture. (O) Mandibular metal-reinforced overdenture. (P) Final prosthesis in place.