MEDizzy
MEDizzy
Zunaira saleh
Zunaira saleh9 months ago
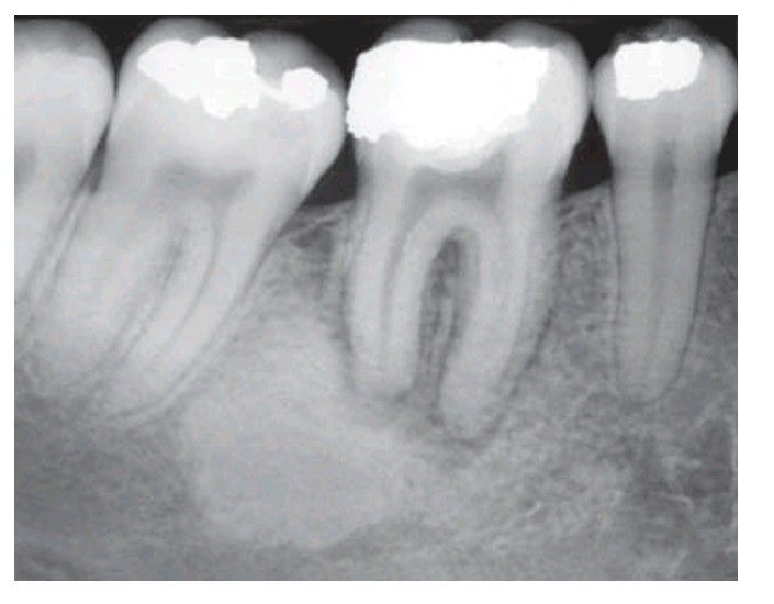
Sclerosing osteitis,

Sclerosing osteitis,

Sclerosing osteitis, a focal zone of sclerosis associated with periapical infl ammation from a non-vital lower fi rst molar.

0
Other commentsSign in to post comments. You don't have an account? Sign up now!

Recent MCQs















Show more MCQs

Recent flashcard sets















Show more flashcards