MEDizzy
MEDizzy
Zunaira saleh
Zunaira saleh9 months ago
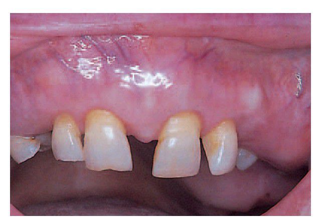
Paget’s disease of bone

Paget’s disease of bone

. Characteristic features of the involved maxilla are the broadening and deepening of the alveolar process, generalised enlargement and spacing of the teeth.

1
Other commentsSign in to post comments. You don't have an account? Sign up now!

Recent MCQs















Show more MCQs

Recent flashcard sets















Show more flashcards