
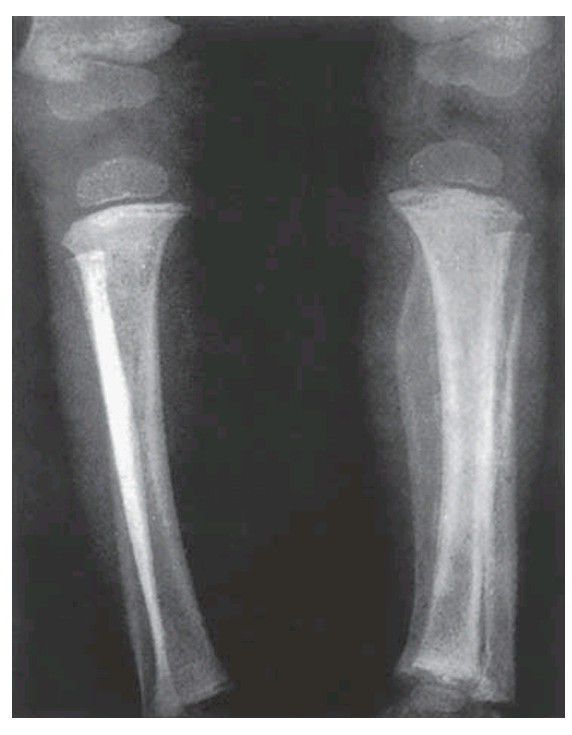
Scurvy. In contrast to rickets, calcifi cation is unimpeded and there is a thick layer of calcifi ed cartilage at the end of the bone. Osteoid formation, on the other hand, is poor, so that little bone can be formed. The attachment of the periosteum to the bone is weak, so that it is easily separated; haemorrhage beneath it (as here) is due to scorbutic purpura and this becomes calcifi ed.