MEDizzy
MEDizzy
Zunaira saleh
Zunaira saleh9 months ago
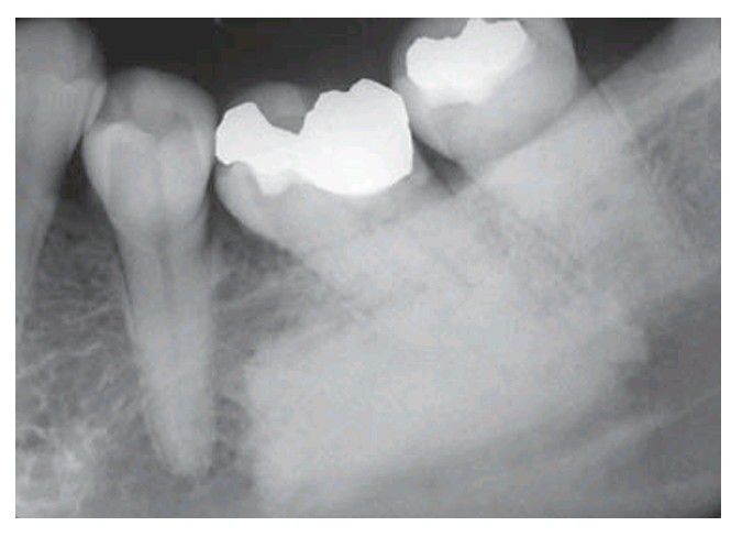
Sclerotic bone

Sclerotic bone

Sclerotic bone island in the posterior mandible, a relatively dense example. The periphery may be sharply or less well defi ned. Courtesy Mr EJ Whaites.

0
Other commentsSign in to post comments. You don't have an account? Sign up now!

Recent MCQs















Show more MCQs

Recent flashcard sets















Show more flashcards