
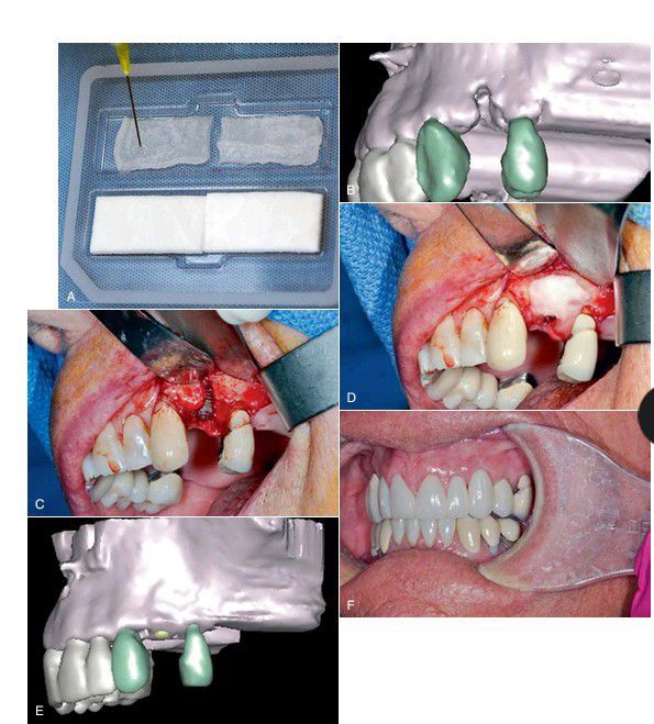
(A) Kit containing BMP in liquid form and collagen sponges. (B) Three-dimensional computed tomography (CT) showing edentulous space with facial wall defect. (C) Implant placed. (D) Allogeneic bone graft material combined with BMP on collagen sponge covering bony defect. (E) Three-dimensional CT showing excellent postoperative bone regeneration. (F) Restored implant.