MEDizzy
MEDizzy
Zunaira saleh
Zunaira salehabout 1 year ago
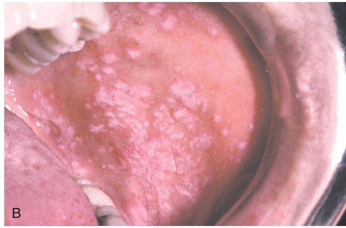
Lichen Planus

Lichen Planus

Patient showing exacerbation of the lesions. Such waxing and waning is characteristic of lichen planus. 

0
Other commentsSign in to post comments. You don't have an account? Sign up now!

Recent MCQs















Show more MCQs

Recent flashcard sets















Show more flashcards