MEDizzy
MEDizzy
Zunaira saleh
Zunaira salehabout 1 year ago
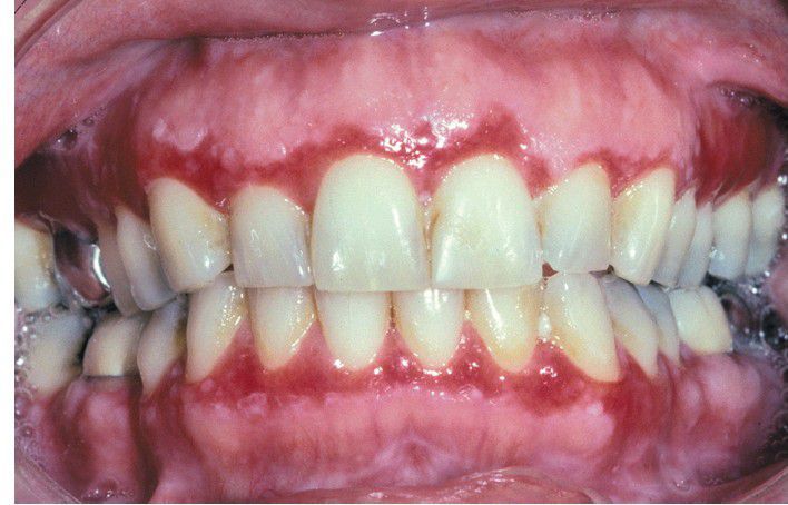
Lichen Planus.

Lichen Planus.

 Erosive lichen planus often appears as a desquamative gingivitis, producing gingival erythema and tenderness. 

0
Other commentsSign in to post comments. You don't have an account? Sign up now!

Recent MCQs















Show more MCQs

Recent flashcard sets















Show more flashcards