MEDizzy
MEDizzy
Zunaira saleh
Zunaira salehabout 1 year ago
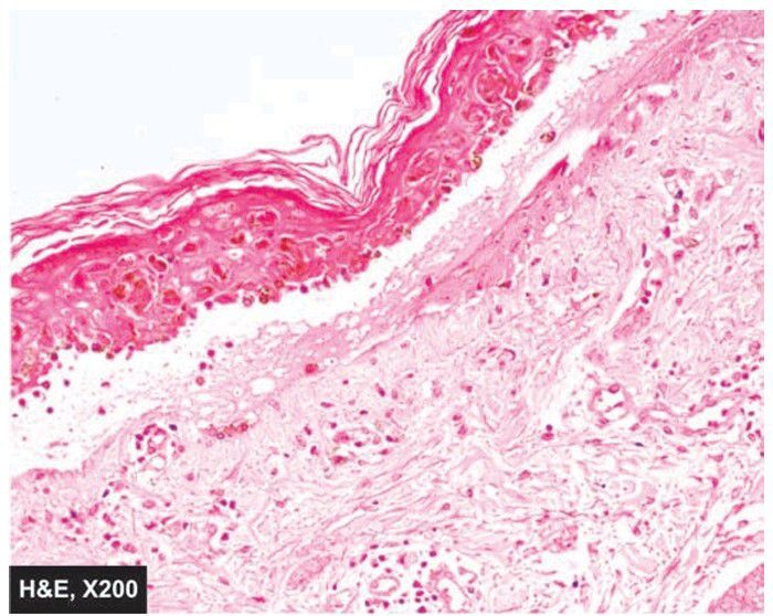
Erythema multiforme.

Erythema multiforme.

There is pronounced dermoepidermal interface dermatitis. There is oedema and necrosis of kertinocytes at the junction and mild lymphocytic infiltrate.

0
Other commentsSign in to post comments. You don't have an account? Sign up now!

Recent MCQs















Show more MCQs

Recent flashcard sets















Show more flashcards