MEDizzy
MEDizzy
Zunaira saleh
Zunaira saleh9 months ago
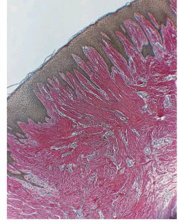
Gingival fibromatosis.

Gingival fibromatosis.

Both the genetic and drug-induced types share this histological picture of gross fi brous proliferation (red) and (frequently, as here) absence of infl ammation.

0
Other commentsSign in to post comments. You don't have an account? Sign up now!

Recent MCQs















Show more MCQs

Recent flashcard sets















Show more flashcards