
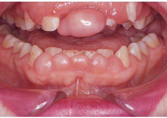
Gingival hyperplasia due to phenytoin. Characteristically the fi brous overgrowth has originated in the interdental papillae, which become bulbous but remain fi rm and pale. Localised gross enlargement such as that around the upper central incisor may result and can form a plaque trap.