MEDizzy
MEDizzy
Zunaira saleh
Zunaira saleh9 months ago
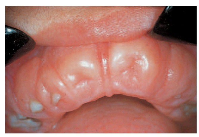
Hereditary gingival fibromatosis

Hereditary gingival fibromatosis

. Fibrous overgrowth of the gingiva has covered the crowns of the teeth and almost buried them (pseudo-anodontia).

0
Other commentsSign in to post comments. You don't have an account? Sign up now!

Recent MCQs















Show more MCQs

Recent flashcard sets















Show more flashcards