MEDizzy
MEDizzy
Zunaira saleh
Zunaira salehabout 1 year ago
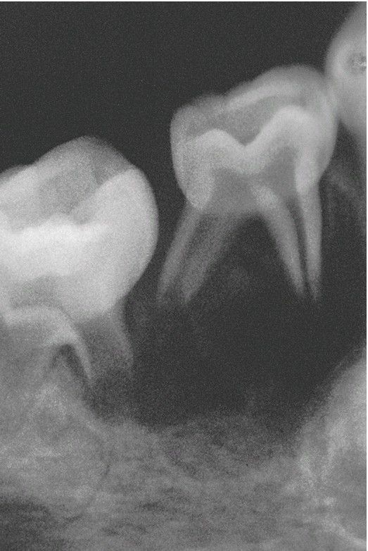
Langerhans Cell Histiocytosis.

Langerhans Cell Histiocytosis.

 Periapical radiograph showing marked bone loss involving the mandibular teeth in a young girl, resulting in a “floating-in-air” appearance of the teeth. 

0
Other commentsSign in to post comments. You don't have an account? Sign up now!

Recent MCQs















Show more MCQs

Recent flashcard sets















Show more flashcards