Feed
Library
Learning
Discuss
Leaderboard
Journal
Sign in
Login
Sign up
Sign in
Feed
Library
Learning
Discuss
Leaderboard
Journal
Zunaira saleh
about 1 year ago
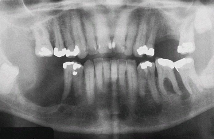
Langerhans Cell Histiocytosis
Severe bone loss in the mandibular molar regions that resembles advanced periodontitis.
Periodontitis
Langerhancellshistiocytosis
Boneloss
0
0
0
Other comments
Sign in
to post comments. You don't have an account?
Sign up now!
Related posts
Acute apical periodontitis.
Chronic periodontitis
Transition from chronic gingivitis to periodontitis
Pocket formation in periodontal disease
Established chronic periodontitis
Chronic periodontitis.
Chronic periodontitis
Chronic periodontitis
Advanced periodontitis with recession.
Periodontitis with recession.
Recent MCQs
Show more MCQs
Recent flashcard sets
Show more flashcards
Feed
Learn
Add
Search
Discuss