Feed
Library
Learning
Discuss
Leaderboard
Journal
Sign in
Login
Sign up
Sign in
Feed
Library
Learning
Discuss
Leaderboard
Journal
Zunaira saleh
about 1 year ago
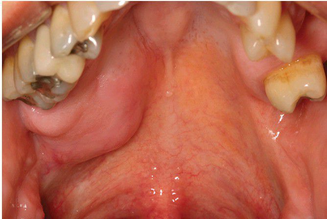
Polymorphous Low-Grade Adenocarcinoma
. Slow-growing, firm mass of the right posterior lateral hard palate.
Adenocarcinoma
Lowgrade
Polymorphous
0
0
0
Other comments
Sign in
to post comments. You don't have an account?
Sign up now!
Related posts
Bilothorax
Broncholithiasis
Bony adenocarcinoma
Salivary Adenocarcinoma
Salivary Adenocarcinoma
Metastatic Adenocarcinoma of the Colon
Low-grade squamous intraepithelial lesion (L-SIL)
Signet ring cells
Colonic adenocarcinoma
Colonic adenocarcinoma
Recent MCQs
Show more MCQs
Recent flashcard sets
Show more flashcards
Feed
Learn
Add
Search
Discuss