
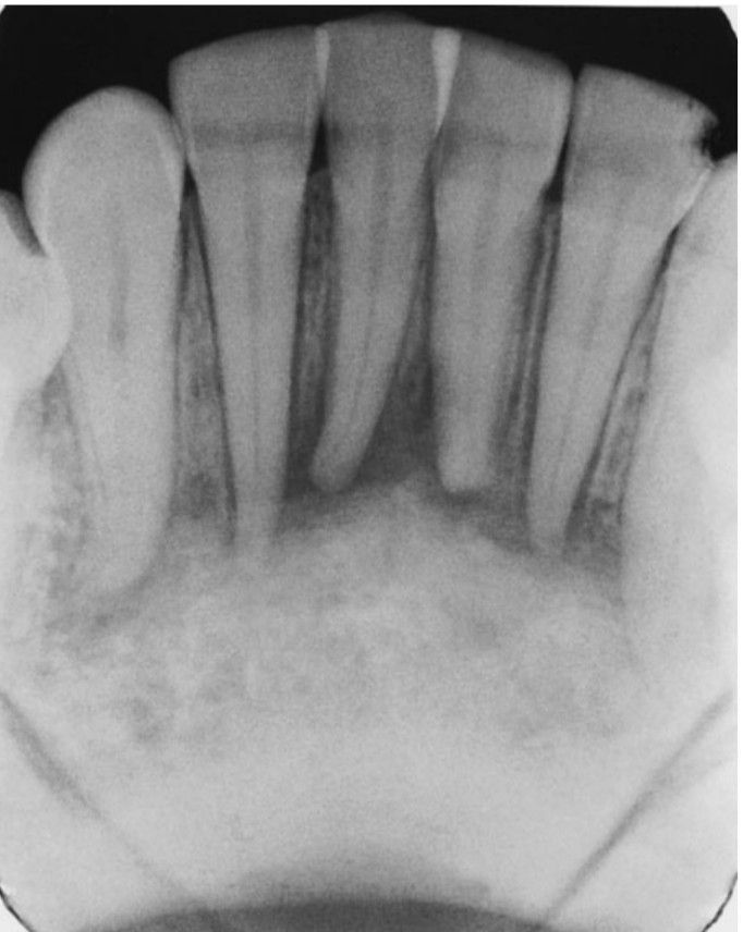
Periapical radiograph demonstrating an irregular radiolucency involving the bone of the apical region of the mandibular anterior teeth, without change in root anatomy. The teeth tested vital. The radiographic finding was the first indication of involvement of the boney adenocarcinoma.