MEDizzy
MEDizzy
Zunaira saleh
Zunaira salehabout 1 year ago
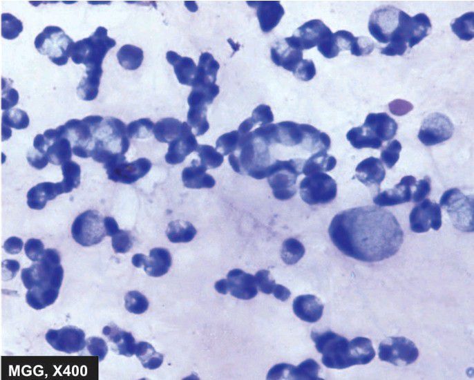
Signet ring cells

Signet ring cells

Pleural fluid positive for signet ring cells (adenocarcinoma stomach). There are large number of malignant cells scattered singly or in small clusters having characteristic cytoplasmic vacuoles, nuclear hyperchromasia and prominent nucleoli.

0
Other commentsSign in to post comments. You don't have an account? Sign up now!

Recent MCQs















Show more MCQs

Recent flashcard sets















Show more flashcards